
骨髓增殖性肿瘤(MPN)是一类起源于造血干细胞以骨髓一系或多系过度增殖为特征的疾病,典型的MPN包括真性红细胞增多症(PV)、原发性血小板增多症(ET)以及原发性骨髓纤维化(PMF)。在刚刚过去的2023中华血液公益行“启新程愈新生·共建健康中国”MPN患教会(武汉站)中,四川大学华西医院潘崚教授分享了原发性骨纤维化(PMF)诊疗策略的相关知识。为便于您阅读、学习、理解,我们将重点内容整理如下
一、PMF概述
1.PMF的概念
目前,PMF是唯一的一种在医学术语中没有肿瘤细胞的肿瘤。PMF是一种BCR-ABL融合基因阴性、慢性、进展性骨髓增殖性肿瘤(MPN)。肿瘤细胞克隆性增殖, 导致大量炎性细胞因子释放,刺激成纤维细胞产生网状纤维及胶原纤维,导致骨髓纤维化及髓样化生, 发生肝脾、淋巴结、乳腺等髓外造血。CALR的Ⅰ型突变为52个碱基对的缺失,此种突变的预后较好;Ⅱ型突变为5个碱基对的插入,此类突变容易引发血栓;三阴患者(无基因突变)的预后反而较差。
2.JAK-STAT通路异常是造成骨纤维化的重要原因
由于JAK-STAT通路过度活跃,骨髓造血干细胞呈异常克隆性增生,造血功能异常,骨髓中的纤维母细胞产生较多的纤维从而导致骨髓纤维化,此时肝脾承担起了造血的任务,所以肝脾会肿大。
3.PMF常见的临床表现及实验室异常
主要症状:乏力、腹胀、早饱感、肌肉骨骼疼痛、盗汗、体重减轻、发热、血栓栓塞、出血器官受累:肝肿大、脾肿大、软组织包块、浆膜腔积液血常规及白细胞分类:白细胞增多、贫血、血小板减少、幼红幼粒细胞、向白血病转化分子遗传学检查:表型驱动基因突变、非表型驱动基因突变、染色体异常。此检查对判断疾病的预后非常重要。最终诊断要结合骨髓涂片及骨髓病理结果。

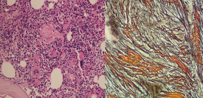
骨髓纤维化患者的骨髓病理
二、PMF的诊断
●Pre-PMF是指早期骨髓纤维化,而Overt-PMF为中后期或重度骨髓纤维化。骨髓纤维化程度分级是两者的主要区别点。骨髓中纤维组织增生最大的特点为巨核细胞的“怪”。巨核细胞的“怪”主要表现为两个方面:一是指巨核细胞的形态“怪”,有大有小,小型居多。二是指巨核细胞的分布“怪”,常常聚在一起。
●Post-PV MF和Post-ET MF要达到MF2的标准才可进行诊断。MPN-U(MPN不能分类型)的诊断标准:有时会出现红细胞、白细胞和血小板都增多的情况,且纤维细胞增生,此时诊断不明朗,暂时诊断为MPN-U。后期随着疾病的进展,可明确诊断。
三、PMF的预后分层及症状评分
●常用与MF预后风险评估的评分系统

IPSS用于初诊患者,DIPSS和DIPSS-Plus可用于病程中任意时间
IPSS 分组:低危:0分;中危-1: 1分;中危-2:2分;高危≥3分;DIPSS分组: 低危:0分;中危-1: 1-2分;中危-2:3-4分;高危:5-6分;
DIPSS-Plus: 低危:0分;中危-1: 1分;中危-2:2-3分;高危:4-6分;
●MIPSS-70评分系统把基因突变及骨髓纤维化程度纳入预后评估系统

●骨髓纤维化症状评分(MPN-10):可监测症状、评估疗效

若总分大于44,则病情较重。单项得分大于等于7分为严重,大于等于4且小于等于6为中度,4分以下为轻度。
四、PMF的治疗
1.治疗目标与治疗推荐
治疗目标:长期治疗目标为延长生存,改善/逆转骨纤维化,甚至治愈。短期治疗目标为缓解症状,改善生活质量。
中国PMF诊疗共识治疗推荐:

异基因造血干细胞移植是目前唯一可能治愈MF的治疗手段,但有相当高的并发症发生率和治疗相关死亡率,临床较少采用。芦可替尼是唯一针对MF发病机制JAK/STAT通路的靶向治疗药物,无论是否有JAK2V617F突变。
NCCN2022指南:

2.对症治疗
针对贫血可以使用雄激素(如达那唑)、免疫调节剂(如沙利度胺、来那度胺)、糖皮质激素(泼尼松)来治疗,当白细胞和血小板增多时羟基脲或干扰素治疗,但羟基脲可能会导致皮肤溃疡、溃烂感染、指甲变黑等副作用。骨髓移植是治愈MF的手段,但受限因素较多。

3.芦可替尼
①芦可替尼的剂量和用法:
根据血小板计数推荐的起始剂量为:

如果漏服了某次药物,不要补服该次药物,应该按原定给药方案,按时服用下次药物
②芦可替尼治疗期间的监测
●启动芦可替尼治疗前:必须进行全血细胞计数,包括白细胞分类计数;检测肝肾功及输血前全套-HBcAB阳性的患者,加用抑制乙肝病毒复制的药物;
●初次使用的前四周:每周监测一次全血细胞计数,包括白细胞、血小板和红细胞分类计数;
●4周后:每2~4周监测一次全血细胞计数,直到芦可替尼剂量达到稳定,然后可以根据临床需要进行监测。
③芦可替尼的撤药反应:芦可替尼突然停药后可能会出现撤药反应如发热、头痛、脾脏快速长大等。治疗过程中,如因感染或其他紧急情况或因疗效不满意等需要停用芦可替尼时,应该按计划在7-10 天内逐渐减停药物,同时加以泼尼松20-30mg qd预防停药综合征(撤药反应)。
骨髓纤维化新疗法正在不断探索中,新靶点药物联合芦可替尼治疗MF可改善MF患者组织病理学,且临床新药的治疗效果也比较好,因此,患者朋友们不要丧失信心,并对生活仍抱有希望!


微信扫一扫 