张培红教授:骨髓增殖性肿瘤(MPN)的病理进展
患者就医后临床医生除运用各种临床诊断、检验、治疗等方法对疾病诊治外,往往还必须借助于病理学的各种方法来对疾病进行诊治。一些恶性肿瘤常常是患者在做病理检查时被发现的,这样就能得到及时的诊断及治疗,并达到较好的疗效。病理诊断在患者的最终疾病诊断中占十分重要的作用。本期专家讲座特邀中国医学科学院血液病医院病理中心张培红教授为我们讲解MPN的病理进展。

要点总结:病理概述、髓系恶性肿瘤的分类、髓系增殖性肿瘤的分类及MPN诊断
1、病理概述
病理包括形态病理、分子病理、免疫病理等,并着重强调了病理的重要地位—是临床的基础和桥梁。
2、髓系恶性肿瘤的分类:
2017年WHO将髓系恶性肿瘤分为以下7种:骨髓增殖性肿瘤(MPN)、骨髓增生异常综合征(MDS)、骨髓增生异常/骨髓增殖性肿瘤(MDS/MPN)、急性髓系白血病(AML)及其相关肿瘤、伴嗜酸性粒细胞增多和基因重排的髓系/淋巴肿瘤、肥大细胞增多症、遗传易感性髓系肿瘤。今天重点讲解MPN。
3、髓系增殖性肿瘤的分类:
WHO将MPN分为以下几类:慢性粒细胞白血病(CML)BCR-ABL1阳性、慢性中性粒细胞白血病(CNL)、真性红细胞增多症(PV)、原发性骨髓纤维化(PMF)、原发性血小板增多症(ET)、慢性嗜酸性粒细胞白血病,非特殊类型(CEL,NOS)、骨髓增殖性肿瘤不能分类(MPN,U)。由于CNL、CEL,NOS相对比较少见,我们所指的MPN除CML外,一般指BCR-ABLI融合基因阴性的MPN,包括PV、ET、PMF。
4、MPN诊断
诊断MPN需要结合临床、形态学以及分子遗传学特征。过去认为仅根据形态学特点不能严格的区分PV、ET和PMF,原因是以为他们彼此相似,而且可以相互转化,这些观点是错误的,必须更正。现在,必须严格根据WHO诊断标准进行诊断。


要点总结:JAK2、CALR、MPL 等驱动基因分子治病机制
活化的JAK/STAT信号通路通过细胞因子依赖的增殖信号,驱动活化的EPOR、MPL和G-CSFR使造血细胞增殖。JAK2、CALR和MPL在MPN体细胞突变中起主要作用,但MPN的驱动基因不仅仅局限于JAK2、CALR和MPL,同时也可以检测到其他的体细胞突变,这些体细胞突变也会见于其他的髓系肿瘤,例如表观调节因子(TET2、DNMT3A、IDH1/2)、剪接体因子 (SF3B1、U2AF1、SRSF2、ZRSR2)、转录因子(TP53、CUX1、IKZF1、RUNX1、FOXP1、NFE2)、信号分子(RAS、FLT3、 LNK、CBL、NF1),这些因素的影响也逐渐被认识,它们可以影响患者的疾病表现和预后。
1、JAK2
JAK2位于9号染色体p24.1位点,JAK2第14外显子突变导致苯丙氨酸在617密码子处取代缬氨酸,导致了正常抑制JH2区域的酪氨酸酶磷酸化,从而激活细胞因子及其受体绑定,导致骨髓增殖。JAK2在正常人群中的突变频率较低,约1%-2%,而且此类人群血红蛋白较高,心脑血管发生率较高。
2、CALR
CALR是内质网伴侣蛋白,位于19号染色体p13.13位点,其突变见于JAK2阴性MPN中50-60% ET和75% PMF。MPN中有50种已经报道的CALR基因突变,突变的CALR基因导致框架改变,丢失了KDEL sequence,使其结构改变,绑定MPL形成复合物,引发增殖。CALR是JAK2阴性MPN中最常见的突变,其在正常人群中的突变频率约为5%-7%,而肿瘤患者CALR的突变频率超过10%,因此,建议临床定量检测CALR,而不只是定性检测。
3、MPL
MPL基因位于染色体1p34,突变发生大约为1-3%的ET和5% 的MF。MPL基因编码血小板生成素受体蛋白 (TPOR)。TPO和TPOR(MPL)结合,激活MAPK信号通路,导致干细胞增殖。MPL最常见的突变位点是W515L、W515T、W515R等。
4、STAT5与CALR
红系及巨核系均表达STAT5,STAT5必须CALR蛋白在内质网中才能激活,而CALR蛋白激活后被移出了内质网,因此红系不能增殖,这就是CALR突变不能造成红系增殖的原因。

要点总结:PV、ET、pre-PMF及PMF的病理诊断
1、PV的诊断
WHO的诊断标准非常精确,要求Hb、HCT、RCM数值、典型组织学改变和基因突变,但真红在病理上基本是可以明确,因为PV不需要和其他慢性髓系肿瘤鉴别,说明其病理形态清楚。核查EPO,EPO水平降低,即使血红蛋白Hb不达标,也可诊断PV,所以病理在PV诊断时非常有价值的。

PV病理改变:
骨髓全髓增殖改变,巨核细胞明显增多,大小不一,也可能成簇,但成簇较疏松,且一定有红系增多,增生非常活跃,这是PV比较较经典的病理改变。


PV鉴别诊断:
主要与单纯血红蛋白升高、ET(胞体大、分叶多的巨核细胞)、pre-PMF、CML相鉴别。
2、ET的诊断
WHO对ET的诊断标准,要求除了典型的组织学改变外,还需要除外慢粒、PV、PMF及其他慢性髓系肿瘤,没有基因突变的需要除外反应性增多。

ET病理改变:
增生为正常或活跃,脂肪空泡较明显,主要以巨核细胞增多为主,细胞体大,分叶多,一般不会有红系明显增多。ET会有纤维化,但纤维化程度较pre-PMF低。
鉴别诊断:主要与反应性血小板增多、早期的PV、pre-PMF、CML及其他髓系肿瘤相鉴别。


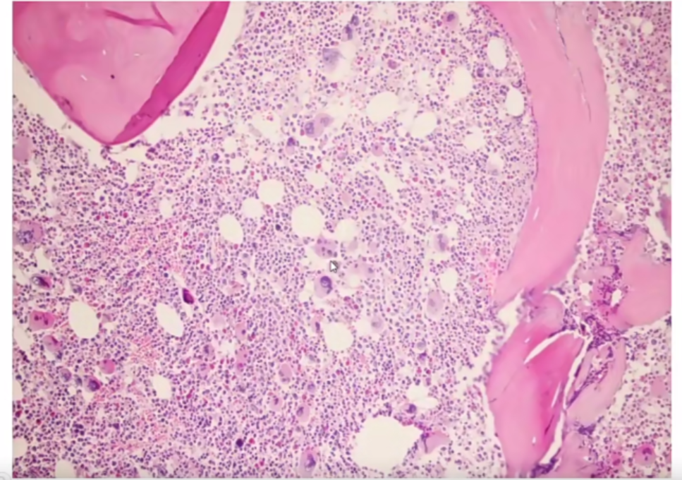
3、pre-PMF的诊断
pre-PMF除了粒系和巨核系的增生,增生的多为胞体小的巨核,且需要除外其他慢性髓系肿瘤,WHO对pre-PMF的诊断非常谨慎,需要至少一个次要标准。

pre-PMF病理改变:
从一位血小板增多、CALR阳性的28岁女性患者的病理检查来看,骨髓增生正常,但在高倍镜下可见巨核细胞密集成簇且胞体小,这是pre-PMF的病理特征。但该患者粒系增多不明显,因为其是CALR突变,一般多见于年轻人,血小板会显著增多,这与JAK2阳性的pre-PMF有差异,JAK2阳性的pre-PMF一般增生较活跃,巨核细胞密集成簇分布。虽然由于基因不同展示的形态不一样,但并不影响疾病性质。



4、PMF的诊断
PMF的诊断和pre-PMF相似,主要的区别点为PMF要求网状纤维染色2级或以上,网状纤维定性也非常重要,一般来说网状纤维染色是否超过2级,需要定性是否有1/3的区域里超过2级,所以取材非常重要,取材足够多,判断才准确。

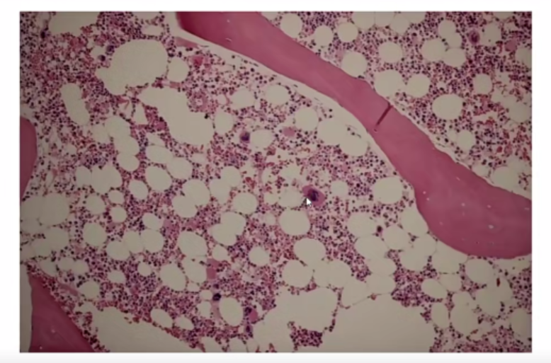
PMF病理改变:
从一位66岁JAK2/V617F阳性的PMF患者病理检查来看,可见骨髓中有一大簇增生巨核细胞,这是纤维化的表现,高倍镜下可见胞体大,分叶多的巨核。


定义:骨髓纤维化(BMF)是指骨髓中出现网状纤维沉积,一些病例中伴有胶原纤维沉积或骨硬化。骨髓纤维化可见于各种恶性肿瘤或非恶性的疾病情况。
原发性骨髓纤维化(PMF)是指起源于造血干细胞的骨髓增殖性肿瘤。临床表现为外周血不同程度的血细胞减少,髓外造血导致进行性脾大,以及血涂片出现不成熟的粒红细胞。患者出现一系列的衰弱症状。

要点总结:非驱动基因引起(三阴)的MPN
三阴的MPN并不少见,SH2B3(LNK)对JAK-STAT通路有负相调节作用,其常与JAK2并存。因此若患者无JAK2基因突变,而SH2B3突变亦可诊断为MPN,约7%的MPN患者是由于SH2B3突变引起的。LNK的主要抑制功能在SH2区域,对EPO、TPO都有负调节作用。
SOCS蛋白是JAK/STAT信号中的关键蛋白,对EPO有负调节作用。CBL编码E3泛素连接酶CBL的原癌基因,是重要的酪氨酸激酶协调者,很多恶性肿瘤中都有表达,但在MPN中表达较明显。
10号染色体上的基因(PTEN),也可以通过PI3K/AKT信号调节驱动MPN表型。
张教授强调,三阴的MPN需与其他髓系肿瘤相鉴别,并通过一例典型病例说明了MPN与MDS的鉴别要点。

要点总结:共突变基因的影响
MPN的疾病表型主要有驱动基因决定,但同时其他突变的调节基因也影响着疾病临床进展。越来越多的证据表明,这些突变因素在MPN的发病和进展过程中起着非常重要的作用。
突变的顺序影响:JAK2 常与TET2和DNMT3A并存,若JAK2先于TET2突变,一般是PV;而TET2和DNMT3A先于JAK2突变,则一般是ET。
突变基因的影响:染色质修饰基因,编码的细胞因子与组蛋白的甲基化相关;ASXL1是影响预后的基因,增强组蛋白的甲基化,静默HOXA基因,突变后异染色质稳定丧失,常见于转白后继发纤维化的病例;EZH2突变者预后差,多见于PMF的患者(5-10%)。
剪接体复合成分:SRSF2可见于多种髓系肿瘤,编码丝氨酸和精氨酸富含的细胞剪接因子。SRSF2突变的MPN患者的纤维化非常明显,转白率较高,其常与JAK2、MPL共存。若SRSF2与JAK2共突变,一般见于MPN,若SRSF2单独突变,一般见于MDS/MPN;若与TET2共突变时,则取决于克隆的大小,临床表现为单核细胞增多。U2AF1在慢性期中并不多见,常见于疾病进展中。SF3B1突变阻碍了红系的分化成熟,预后较好。
表观调节因子:DNMT3A是髓系肿瘤中最常见的突变,出现在早期的MPN病例中(5%-10%),其不在预后评分系统中;TET2在DNA的甲基化中有重要作用,TET2功能的丢失导致DNA甲基化增强,HSC自强更新的基因表达增强,向粒单细胞分化增多;IDH1/2在MDS和MPN中相对少见(0.5-4%),多见PMF中,转化阶段突变率增多,与TET2共存常促进恶性转化。
肿瘤抑癌基因:TP53位于17号染色体,编码DNA结合蛋白,对DNA损害的细胞启动死亡程序,使细胞凋亡。在疾病的稳定期突变频率很低,LOH导致转白,是PV和ET常见的转白基因。
转录因子:RUNX1位于21q22.12,是正常髓系特异性转录的重要调节因子,在造血细胞中起关键作用,在MPN的稳定阶段突变率较低,在转白阶段突变率明显增高,在MPN相关的AML中突变频率比原发AML高许多;NFE2见于一些MPN患者,NFE2表达增加同样见于缺氧诱导因子信号增强的红细胞增多症。

要点总结:遗传倾向
胚系基因的遗传易感性也非常明显,研究表明MPN有家族倾向,如核甘酸多态性和单倍体对MPN的发生有明显的影响,JAK2单倍体(46/1)以及TERT、MECOM、SH2B3、CHEK2、PINT和GFI1B均与MPN有关。
SH2B3基因的多态性与慢性炎症、自身免疫性疾病、心血管疾病等有关(LNKp.R262W),这些人外周细胞数目更高,推测LNK的多态性在MPN患者中起主要作用。

最后,张培红教授分享了一篇文章,文章通过比较两组MPN患者(31例患者11例为稳定组,20例进展组)的骨髓活检和分子改变,发现疾病的进展不仅依赖分子改变的数量,而且分子改变的次序也影响疾病的进展。


微信扫一扫 