
原发性骨髓纤维化(PMF)是造血干细胞异常所致的克隆性骨髓增殖性疾病。PMF与真性红细胞增多症(PV)、原发性血小板增多症(ET)同属于BCR-ABL阴性的骨髓增殖性肿瘤(MPN)。在刚刚过去的2023中华血液公益行“启新程愈新生·共建健康中国”MPN患教会(郑州站)中,徐泽锋教授来为大家分享了原发性骨髓纤维化的规范诊疗相关知识。为便于您阅读、学习、理解,我们将重点内容整理如下:
骨髓纤维化的临床表现
骨髓纤维化主要存在三种临床表现,分别为:严重的全身症状、明显的脾大以及血细胞的异常。
①严重的全身症状
相对于PV和ET患者,PMF患者的全身症状更加严重,低热、盗汗、疲乏、早饱、骨痛等全身症状在PMF的患者中普遍存在,约80%的患者在确诊前就已出现疲乏、瘙痒等多种症状。
②明显的脾肿大
脾肿大不仅可导致疼痛、早饱、腹胀,大部分脾肿大会导致局部缺血和脾梗死,还可以导致贫血和血小板减少,从而出现头晕、头痛、耳鸣、乏力等症状,更有甚者可导致门脉高压以致静脉曲张出血、腹水、下肢水肿等症状。

③血细胞异常
PMF患者的血细胞可以增多,也可减少,但血细胞增多和贫血的的情况相对常见。相较于PV和ET患者来说,PMF 患者血细胞的异常更加明显、变化更加多样。
骨髓纤维化的诊断依据
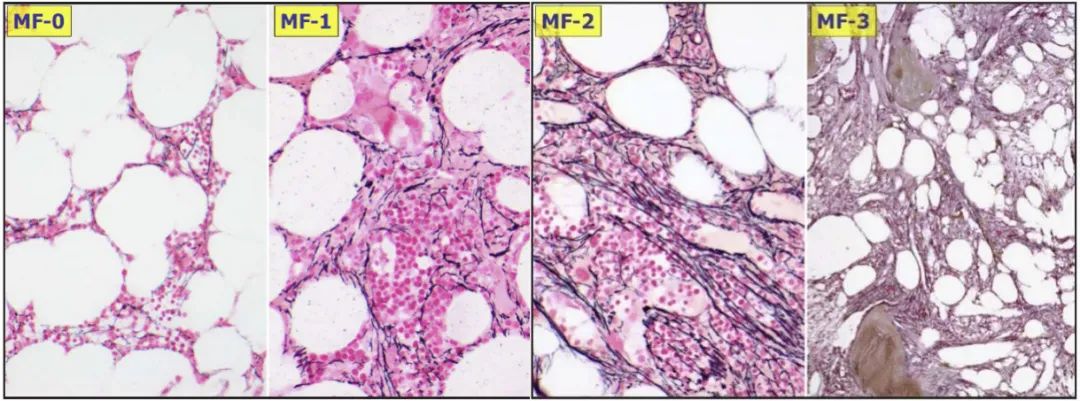
骨髓纤维化的确诊主要通过骨髓检查、基因检测、血细胞检查、患者症状和鉴别诊断来实现。其中,骨髓检查最为重要。骨髓检查主要包括骨髓穿刺涂片和外周血涂片计数以及骨髓活检病理细胞学分析及网状纤维染色两种。根据骨髓检查的结果可以判断患者的骨髓纤维化程度,级数越高则表明骨髓纤维化程度越严重、疾病越严重。

此外,约有85%的PMF的患者有JAK2、CALR、MPL三种基因中其中一种基因的突变,还可能伴有其他如TET2、ASXL1、SRSF2等基因的突变。因此,骨纤维化的基因检测对诊断PMF来说也必不可少。 WHO已经发布了诊断标准(如图),原发性骨纤维化需要满足三项主要标准以及至少一项次要标准才可确诊。

骨髓纤维化患者的预后评估
随着时间的推进,医学进入基因诊断的时代,骨髓纤维化患者的预后评估方法也在逐渐演变。在确诊为MF相关疾病后,医生会使用国际预后积分系统(IPSS)、动态国际预后积分系统(DIPSS)或DIPSS-Plus预后积分系统等工具对您的疾病情况进行预后分组,这也是PMF预后评估的经典方法。前者用于初诊患者,后两者可用于病程中任意时间。

同为PMF患者,基因突变的类型不同,预后也不尽相同。另外,是否伴有基因高风险分子突变、有几种基因突变,也对预后评估产生影响。
骨髓纤维化的治疗目标和策略
对不同预后的PMF患者,治疗的目标和策略也不同。 ①骨髓纤维化的治疗的短期目标是缓解贫血、脾肿大、盗汗、乏力、消瘦等症状,来改善生活质量。长期目标则是追求延长生存、改善或逆转骨髓纤维化,甚至通过进行造血干细胞移植手术来治愈。但此手术风险较大,若非万不得已不会启用此治疗方案。 ②基于风险分层和症状选择适合中国MF治疗路径病情相对低危的患者的治疗主要以控制症状为主。目前,控制症状最有效的药物为芦可替尼。 病情相对高危的患者,若符合进行移植的条件,则可以考虑进行异基因造血干细胞移植,若不符合移植条件或暂时不需要移植,则需要用药来延缓疾病的进展、改善症状、缩小脾脏、提高生活质量。

芦可替尼的作用
芦可替尼具有四大临床获益:①治疗脾大②治疗全身性症状③逆转纤维化④延长生存。
但在芦可替尼治疗过程中,也需要注意此药物可能带来的不良反应,其中血细胞下降是最常见的不良反应。所以,在用药之前要做好全面评估,包括检查血常规、肝肾功能、脾脏大小等,以此来作为后续治疗疗效的对照。治疗过程的前三个月血细胞的下降会非常明显,这时血常规检查的频率保持在一周1-2次,在第3-6个月进入平缓期,血常规检查频率为两周1-2次。
同时,建议PMF患者每年做一次全面评估来观察疗效、疾病是否发生变化以及时做出预警。

PMF相对PV、ET而言更加严重一些,因此我们更需要重视。但因为现在有药物可以治疗,同时PMF又是一种慢性疾病,所以患者们不需要去恐惧它。一定要积极配合医生的治疗、遵循医嘱!


微信扫一扫 