骨髓活检,全称为骨髓活体组织检查术,主要是通过使用活检针采集骨髓中的组织样本以此来做组织病理学形态分析。它可以提示有核细胞增生程度、造血细胞成熟度,了解骨髓腔内细胞构成等,还可以对骨髓基质进行分析,以及进行免疫组织化学染色等[1]。尤其是对于MPN来说,它是诊断MPN的基石之一。那么,做了骨髓活检之后,活检报告该怎么看呢?
一份完整的骨髓活检报告主要分为显微镜下观察结果、骨髓组织学特征描述和病理诊断结论三部分内容:

- 显微镜下观察结果
这里的图片主要是经过染色后的骨髓组织切片在显微镜下看到的样子,骨髓组织切片可以很好得判断细胞数量、骨髓结构、细胞分布和异常细胞。(这部分内容我们简单看看就可以了)
- 骨髓组织特征描述
我们主要来看看这部分内容,主要描述的是[2-5]:
①年龄校正的造血细胞增生程度(骨髓增生程度):
骨髓是人出生后的主要造血器官,骨髓系干细胞主要包括红系组细胞、粒-单核系组细胞、嗜酸粒组细胞、嗜减粒组细胞和巨核系组细胞。这些细胞会不断的增生(生长、发育、分裂),直到自身细胞的功能释尽,最后衰老死亡。

图源[5]
根据成熟红细胞和有核细胞比例,可以将骨髓增生程度分为五级,正常情况下我们的骨髓象为增生活跃,若增生程度活跃过度或增生程度太低,都显示为异常状态。例如有少部分ET患者会显示骨髓增生异常活跃。

图源[5]
②粒系增生情况:增生程度、是否有核左移或核右移、是否有异常前体细胞簇:
粒系细胞包括中性粒细胞、嗜酸性粒细胞和嗜碱性粒细胞等。中性粒细胞是粒系细胞的主要部分。正常参考比值为0.40~0.75,在MPN中均可有中性粒细胞增多;在某些病毒感染、再生障碍性贫血等情况时,会出现粒细胞减少。其次,中性粒细胞的核形标志着它的发育阶段,正常人的中性粒细胞中分叶核最多是2~3叶,而在病理情况下,分叶核会发生左移或右移现象。

图源[5]
嗜酸性粒细胞是粒系细胞的重要组成部分,它与免疫系统之间有密切关系。其正常参考比值是0.004~0.008;嗜碱性粒细胞的正常参考比值是0~0.01,在骨髓纤维化的患者中可能会出现嗜碱性粒细胞增多的情况。
还有前体细胞,指的是正在增殖并且向终末分化发展的细胞。正常情况下,不成熟粒细胞系统前体细胞分布在骨小梁,红细胞系统前体细胞在离散岛的间隙,而巨核细胞分散在组织间隙。在病理情况下,它们的分布位置会发生变化,如真性红细胞增多症患者,巨核细胞增多且靠近骨小梁旁。
③红系增生情况:红系岛的分布位置和增生程度、是否有核左移
红细胞的增殖、分化等过程都会发生在一个特定的部位,称为红系造血岛,由不同阶段的红细胞围绕一个中心的巨噬细胞组成。它在红细胞的正常分化和某些疾病中都起着重要作用。正常情况下会有5~30个正常形态的红细胞围绕在1个巨噬细胞周围。而在病理情况下,红细胞数或红细胞岛的形态会发生变化,如真性红细胞增多症患者,活检可以发现红细胞增生明显,且形成较大的幼红细胞岛。
④粒系/红系比值
粒系细胞总和与各阶段的红细胞总和之间的比值,一般情况下正常比值为2-4:1。病理情况下会出现以某一种细胞增生为主,如真性红细胞增多症患者的外周血中会以成熟粒系为主,而原发性血小板增多症患者粒系/红系比值可能会大致正常。
⑤巨核系增生情况:数量、分布状况、胞体大小和细胞核形态
巨核细胞被认为是血小板的前体细胞,是骨髓有核细胞中数量最少的细胞之一,约占骨髓有核细胞总数的0.01%。正常情况下可以分为原始巨核细胞、幼稚巨核细胞、颗粒巨核细胞、产血小板型巨核细胞,在成熟过程中体积逐渐变大,细胞质增多。而在病理情况下,如在真性红细胞增多症的患者中,巨核细胞增殖程度会比较明显。
⑥纤维组织增生程度分级:网状纤维分级、胶原纤维分级和骨硬化分级
网状纤维、胶原纤维和骨硬化分级一般会和预后有关,对治疗后的疗效评价很有帮助。一般情况下分为MF0-3级。大部分正常人为MF-0级,有些老年人可能是MF-1级。骨髓纤维化通常指的是MF2-3级,当纤维组织增生加重时则提示疾病发生进展了。

图源[2]
⑦是否有血窦扩张及窦内造血
血窦是一种毛细血管,称为窦状毛细血管,主要分布在脾、肝、骨髓以及内分泌腺中。病理状况下,可能会发生异常的扩张且充血。如真性红细胞增多症的患者,通常血窦会发生扩张且充满幼稚红细胞。
MPN患者的骨髓组织学病理学特征[2-4]:
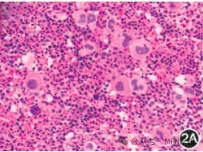
①真性红细胞增多症(PV)患者:外周血分类以成熟粒系为主,嗜酸粒和嗜减粒增加,骨髓活检会发现增生极度活跃,脂肪组织消失,显示与年龄相对的细胞过多伴三系增生,包括显著的红系、粒系和巨核系细胞增多伴多形性成熟的巨核细胞,其中红系和巨核细胞增生比较突出,红系可以形成较大的幼红细胞岛;巨核细胞形态多样、大小不一;血窦通常扩张且充满幼稚红细胞;大部分患者无网状纤维增生。

图源[2]
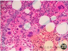
②原发性血小板增多症(ET)患者:骨髓活检显示与年龄相对的骨髓增生程度大致正常或活跃(少部分)。主要特征是巨核细胞系增生,胞体大而形态成熟的巨核细胞增多;没有明显的中性粒细胞增多及核左移或红细胞生成增多;粒系/红系比值大致正常,有出血症状时会出现红系增生;网状纤维增多非常罕见(<5%),且仅为轻度增生(MF≤1级)。

图源[2]
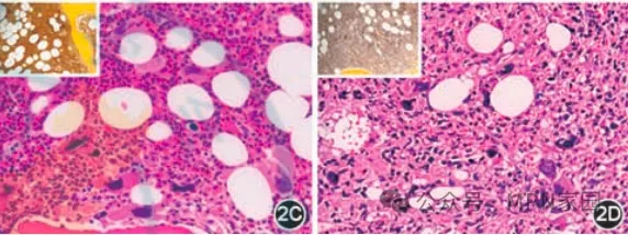
③原发性骨髓纤维化(PMF)患者:在纤维化前期或早期,骨髓增生程度通常极度活跃,巨核细胞分布和形态异常为主要特征,包括胞核/胞质比增大、出现密集成簇或疏松成簇的巨核细胞簇等。而到了骨髓纤维化期,大部分患者的骨髓活检显示骨髓增生程度正常或减低,血窦扩张伴窦内造血,网状纤维和(或)胶原纤维增生。

图源[2]
三、病理诊断意见
在最后给出诊断意见时,医生通常会结合骨髓和外周血检查结果、临床表现以及其他实验室检查结果,对血液和骨髓细胞形态的改变进行讨论,给出合适的诊断意见。
当活检组织病理形态学具有该疾病的某些次要特征时,医生可能会建议做进一步的检查,以排除其他疾病;当检查结果十分明确时,会做出明确诊断;若病理形态学特征符合疾病的一些特征,且临床已提出拟诊意见时,活检报告中也会提出符合(疾病)的诊断意见;最后若样本不合格,会建议再次检查送检。
骨髓增殖性肿瘤(MPN)是以骨髓一系或多系(粒、红、巨噬)细胞增殖为特征的克隆性造血干细胞疾病[4]。在很多情况下,骨髓活检都是疾病诊断必须要做的检查之一,制作良好的组织切片,可以准确判断细胞分布和异常细胞,且常常可以诊断肿瘤类型。
参考文献:
[1] 主编Richard A. McPherson,主译王琳. Henry’s Clinical Diagnosis and Management by Laboratory Methods[M]. 第23版. 北京:人民卫生出版社, 2020 :614-643.
[2] 中华医学会血液学分会白血病淋巴瘤学组 中华医学会病理学分会 BCR::ABL 1阴性骨髓增殖性肿瘤病理诊断中国专家共识(2023版)专家编写组. BCR::ABL 1阴性骨髓增殖性肿瘤病理诊断中国专家共识(2023版)[J]. 中华病理学杂志, 2023年9月, 第52卷(第9期):891-901.
[3] 王前 郑磊 孙德华主编. 血细胞形态学诊断图谱[M]. 第2版. 北京:科学出版社, 2021.3 :156-167.
[4] 主编 王兰兰. 医学检验项目选择与临床应用[M]. 第2版. 北京:人民卫生出版社, 2013 :45-47.
[5] 主编 万学红,卢雪峰.诊断学[M].第9版.北京:人民卫生出版社, 2023 :237-252.

微信扫一扫 