
前 言
随着医学的进步,我们检验科自动化水平越来越高,这也意味着对我们提出了更高的要求:不仅仅是传递数据,而是要把有灵魂的数据传递临床,多与临床沟通交流。现在疾病多种多样,临床的诊断工作随时面临各种挑战。为了减少误诊和漏诊,我们不可有丝毫的疏忽大意。有时看似诊断明确,其实却可能“暗藏玄机”。
案例经过
患者,男,79岁,以“发现左侧腹股沟区可复性肿物1年余”为主诉收入院。病史摘要:一年前,患者无意中发现左侧腹股沟区有一肿物,较小,肿物在站立时出现,平卧或手托可消失,偶伴坠胀、疼痛,无腹胀、恶心、呕吐,无发热。后肿物逐渐增大,未进入阴囊,伴坠胀感,影响活动锻炼,仍无腹胀、恶心、呕吐,无发热。未曾诊治。今为求诊治,来我院就诊。
门诊检查后以“左侧腹股沟疝”为诊断收入院。体格检查:站立时左侧腹股沟区内侧可见一4.0cm×6.0cm×10.0cm的肿物,未进入阴囊,质软,无压痛,平卧或手托可还纳腹腔,站立时再次突出,咳嗽时指尖于深环处有冲击感,还纳肿物后指压深环,肿物未再突出。阴囊透光试验阴性。

表1 异常的检验结果
初步诊断:1、右侧腹股沟斜疝;2、冠心病;3、高血压病。
我们结合病例:患者诊断左侧腹股沟疝,白细胞、血小板轻度的升高。感染?有炎症?还是?随即与临床沟通:彩超显示肝脏大,脾脏不大,建议外周血细胞形态分析。镜下我们意外发现了幼稚粒细胞,中性多见,如图1。我们进一步对血片做碱性磷酸酶(NAP)染色,如图2。

图1 外周血细胞形态分析结果图

图2 碱性磷酸酶染色阳性100倍
根据患者病史、体征,诊断基本明确,已完善相关检查,手术指证明确,但患者白细胞、血小板较高,外周血细胞分析可见幼稚粒细胞存在,暂停手术,请血液科会诊,指导治疗,以明确诊断。
穿刺骨髓结果:骨髓报告:骨髓增生尚活跃,粒系比例增高,血小板增多。
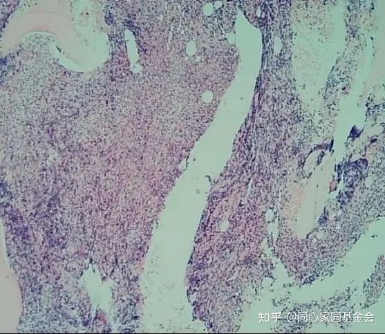
骨髓活检报告如图3-4:镜下描述:骨髓有核细胞增生过度(造血面积占约95%);粒/红比例增高;粒系增生,以较成熟阶段细胞为主,偏幼稚细胞散在少见;红系以中晚幼红细胞为主;巨核细胞散在易见,易见核深染、畸形、分叶少巨核细胞,部分呈“气球样”;淋巴细胞散在可见;浆细胞偶见;骨髓间质可见网状纤维增生。免疫组化:CD34幼稚细胞偶见(+);CD68幼稚细胞偶见(+);CD61巨核细胞(+)。符合原发性骨髓纤维化——纤维化前期(Pre-PMF),请结合临床及其它相关检查等。

图3 骨髓活检H-E染色10倍

图4 骨髓活检H-E染色40倍
注:1、原幼细胞比例小于5%;2、MF-1级;3、未见明显的胞体大、分叶多的巨核细胞,未见“鹿角状”巨核细胞;4、巨核细胞簇状、散在多见,易见核深染、畸形、分叶少巨核细胞。JAK2基因V617F突变定量检测(Q-PCR)结果:阳性。
综上所述,诊断为原发性骨髓纤维化前期,继续给予羟基脲降低血细胞负荷,建议服用卢可替。后复查血常规:白细胞14.44×10^9/L 偏高(4–10),红细胞 3.04×10^12/L 偏低(4–5.5),血红蛋白 117g/L 偏低(120–160),红细胞压积 34.1% 偏低(38–50.8),血小板 408×10^9/L 偏高(100–300);目前治疗有效。患者要求出院。
案例分析
患者诊断左侧腹股沟疝,结果是明确的,准备手术,可是白细胞24.6×10^9/L 偏高(4–10),血小板 512×10^9/L偏高(100–300),多数考虑感染,可感染从何而来?
于是,我们就推片染色显微镜下去一探究竟,幼稚细胞的出现,就很可能不是单独的感染了。我们及时的与医生联系,同时与血液科会诊,做骨髓穿刺,从骨髓活检得出:原发性骨髓纤维化–纤维化前期。
患者JAK2V617F基因阳性。根据2019年版原发性骨髓纤维化诊断与治疗中国指南[1],患者处于早期,纤维化不明显,骨髓增生尚可,未发生干抽现象,血片下未见大量典型的泪滴样红细胞,脾脏不大,但是患者肝脏大;乳酸脱氢酶升高,尿酸升高,提示骨髓外造血的表现,诊断明确后,建议服用卢可替尼。
原发性骨髓纤维化(primarymyelofibrosis, PMF)是骨髓增殖性肿瘤(MPN)之一,MPN是一组发病机制和临床特征都相当复杂的疾病。在国内外发病机制研究中, JAKs通路的重要作用毋庸置疑。诊断主要依靠骨髓的活检,在治疗主要是JAKs抑制剂[2],分为Ⅰ型抑制剂和Ⅱ型抑制剂。大部分临床药物都是Ⅰ型,如卢可替尼。这可给医生提供诊断和治疗的依据。
心得体会
由于MPN早期临床表现复杂,临床医生极易误诊漏诊,我们做医生的“眼睛”,明察秋毫。但难的不是怎么诊断,而是怎么去发现,找到一个“导火索”。这便需要我们检验人不仅仅是不断的学习检验外的知识,在工作中更要有临床的思维。每一个疾病都不是毫无“破绽”的,这就需要我们明察秋毫,多学科结合,为疾病的诊治添彩,共同“造福”于患者。
参考文献
[1]聂子元,罗建民.《原发性骨髓纤维化诊断与治疗中国指南(2019年版)》解读——原发性骨髓纤维化从指南到实践[J].河北医科大学学报,2019,40(07):745-748+752.
[2]李芋锦,朱世荣,刘为易,明静,王子卿,张姗姗,胡晓梅.JAK2基因突变阳性骨髓增殖性肿瘤患者临床特征的分析[J].中国实验血液学杂志,2012021,29(05):1533-1539.

微信扫一扫 