
前 言
在日常血常规检验中,血小板增多的现象并不少见,很多原因都可以导致血小板增多,包括假性血小板增多、反应性血小板增多、骨髓增殖性肿瘤(MPN)、骨髓增生异常/骨髓增殖性肿瘤(MDS/MPN)等等。原发性血小板增多症(ET)是一种以血小板显著增多为主要特点的MPN。不过,血小板显著增多的血液病,一定是ET吗?
案例经过
病史简介:男性,71岁,因体检发现血小板升高5年,未予重视,后血小板每年进行性升高,加重1周入院。
查体:体温36.5℃,脉搏84次/分,呼吸16次/分,神志清,呼吸平,轻度贫血貌,腹平软,无压痛,肝脾肋下未及。
实验室检查:
血常规:WBC 9.52×109/L,Hb 103g/L,PLT 1027×109/L
肝肾功能:钾5.87mmol/L↑,总蛋白62.9g/L↓,白蛋白38.1g/L↓,乳酸脱氢酶316U/L↑
凝血功能检查:正常
肿瘤四项:正常
贫血三项:正常
胸部CT:右侧腋窝淋巴结肿大,脾大
根据该血常规结果,是不是想到了原发性血小板增多症了呢?
临床完善了MICM检查:
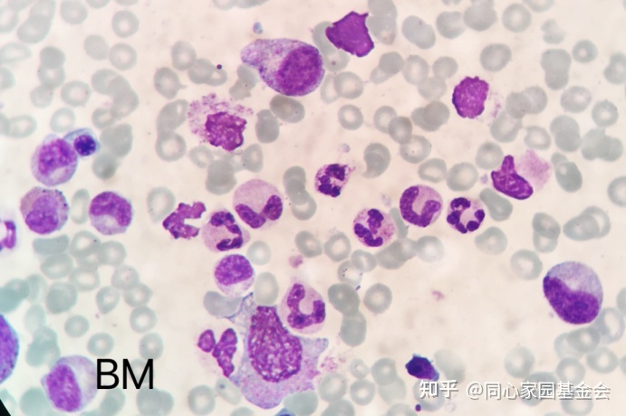
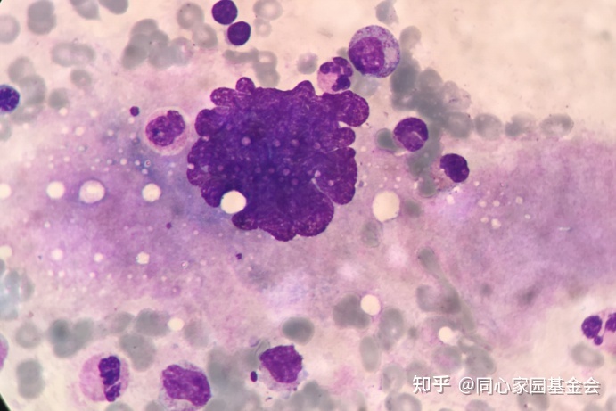
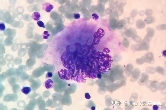
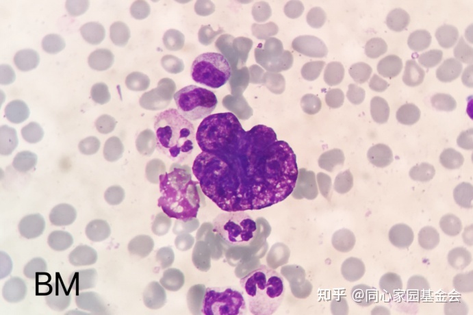
骨髓细胞学检查:有核细胞增生明显活跃,粒红两系比例及形态大致正常,巨核细胞明显增多,部分细胞胞体大,胞质丰富,核多分叶,偶见单圆核巨核细胞,裸核巨易见,血小板明显增多,大中簇成片分布,髓象考虑骨髓增殖性肿瘤,建议结合骨髓活检及染色体,相关基因检查。







流式免疫分型:未见异常

细胞遗传学:未见异常




分子生物学:发现JAK2V617F突变

骨髓活检结果:

综合以上检查,该患者明确诊断为骨髓纤维化前期(pre-PMF)。
案例分析
原发性骨髓纤维化(PMF)是一种原因不明的克隆性造血性干细胞异常所致的慢性骨髓增生性疾病。临床表现为不同程度的血细胞减少和或血细胞增多,外周血出现幼红幼粒细胞,骨髓纤维化和髓外造血,常导致肝脾脏肿大。
根据WHO2016诊断标准,PMF分为两个阶段:原发性骨髓纤维化前/早期(pre-PMF)和原发性骨髓纤维化明显期(overt-PMF)。纤维化前/早期PMF的诊断需符合3条主要标准和至少一条次要标准:
主要标准:
①有巨核细胞增生和异形巨核细胞,无明显网状纤维增多(≤MF-1),骨髓增生程度年龄调整后呈增高,粒系细胞增殖而红系细胞常减少
②不能满足真性红细胞增多症,慢性髓细胞白血病,骨髓增生异常综合征(无粒系和红系病态造血)或其他髓系肿瘤的WHO诊断标准
③有JAK2,CALR或MPL基因突变,或无这些突变但有其他克隆性标志,或无继发性骨髓纤维化证据
次要标准:
①非合并疾病导致的贫血
②WBC ≥11×109/L
③可触及的脾脏肿大
④血清乳酸脱氢酶水平增高
根据诊断标准,该患者符合3条主要标准以及次要标准中的①和④两条。
有研究表明,pre-PMF代表overt-PMF的一个前驱阶段,在临床,血液学及分子表型方面,pre-PMF有较长的总体生存期以及无白血病和无纤维化存活期。pre-PMF主要与ET相鉴别,两者的临床表现极为相似,血小板增多是pre-PMF的常见表现,且存在相同的分子标志及基因突变,但是pre-PMF的预后差,死亡率以及转白血病率相对更高,因此有必要将两者区分出来,鉴别主要依据骨髓组织病理学,如下:
ET年龄调整后的骨髓增生程度不变或轻微增高,唯一增殖的细胞是巨核细胞,呈胞体巨大,细胞核高度分叶呈鹿角状,嗜银染色纤维化分级常为0级。
在Pre-PMF中,年龄调整后的骨髓增生程度显著增高,粒细胞和巨核细胞显著增生,巨核细胞细胞核体积的增大超过胞体,核低分叶呈云朵状,染色质过度且不规则折叠,裸核巨核细胞数增多,嗜银染色纤维化分级常为0或1级。
pre-PMF患者中JAK2V617F,MPLW515x,CALR1型和CALR2型的突变比例分别为67.2%、4.7%、12.2%和5.8%。10.1%的pre-PMF为三阴性突变,提示预后不良。
心得体会


由于pre-PMF起病与ET的相似性,我们需要加强对该病的认识,结合临床表现,实验室检查以及骨髓活检,仔细将两者鉴别出来,以免误诊,延误患者的治疗。
参考文献
[1]陈晳,段美丽.血小板增多症诊治进展[J].山东医药,2013,53(48):82-85.
[2]中华医学会血液学分会白血病淋巴瘤学组.原发性血小板增多症诊断与治疗中国专家共识(2016年版)[J].中华血液学杂志,2016,37(10):833-836.
[3]中华医学会血液学分会白血病淋巴瘤学组.原发性骨髓纤维化诊断与治疗中国指南(2019年版)[J].中华血液学杂志,2019,40(1):1-7
[4]WHO classification of tumours of haematopoietic and lymphoid tissues /edited by Steven H. Swerdlow, Elias Campo,Nancy Lee Harris, Elaine S.Jaffe, Stefano A. Pileri, Harald Stein, Jurgen Thiele. – Revised 4thedition. IARC:Lyon2017
[5]卢兴国,叶向军,徐根波.骨髓细胞与组织病理诊断学[M].北京:人民卫生出版社,2020
[6]高海燕,刘亚波,吕成芳,陈雪艳.血液病临床检验诊断[M].北京:中国医药科技出版社,2021.3

微信扫一扫 